причины сдавления мозга
Среди причин сдавления на первом месте стоят внутричерепные гематомы (эпидуральные, субдуральные, внутримозговые, внутрижелудочковые).
Другими причинами сдавления мозга могут быть и вдавленные переломы костей черепа, очаги размозжения мозга, субдуральные гигромы, пневмоцефалия, выраженным отеком-набуханием головного мозга

КТ головного мозга. Острая эпидуральная гематома в левой затылочной области с дислокацией головного мозга и его сдавлением.

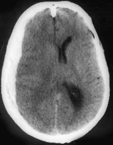
КТ головного мозга. Острая субдуральная гематома в правой лобно-теменно-височной области с дислокацией головного мозга и его сдавлением.

КТ головного мозга. Двусторонние хронические субдуральные гематомы.
Эпидуральные гематомы представляют обусловленное травмой скопление крови, располагающееся между внутренней поверхностью костей черепа и твердой мозговой оболочкой, вызывающее местную и общую компрессию головного мозга.
Причины возникновения эпидуральных гематом. Возникающая во время травмы временная локальная деформация черепа, часто со вдавленным переломом костей черепа и разрывом сосудов твердой мозговой оболочки приводит к поступлению из поврежденного сосуда крови, которая отслаивая ТМО, распространяется в пределах черепных швов, где оболочка плотно сращена с внутренней костной пластинкой. По этой причине эпидуральные гематомы имеют меньшую площадь распространения и большую толщину, чем субдуральные.
Субдуральные гематомы представляют собой обусловленное травмой объемное скопление крови, располагающееся между твердой и паутинной мозговыми оболочками и вызывающие местную и общую компрессию головного мозга.
Субдуральные гематомы встречаются чаще, чем эпидуральные. На изолированные СДГ приходится примерно 2/5 общего количества случаев компримирующих мозг внутричерепных кровоизлияний; они занимают первое место в кругу различных видов гематом.
Посттравматические хронические субдуральные гематомы - инкапсулированное объемное кровоизлияние, располагающееся под твердой мозговой оболочкой и вызывающее местную и общую компрессию головного мозга.
Хронические субдуральные гематомы отличаются от острых и подострых травматических гематом отграничительной капсулой, возникающей, обычно, через 2 недели после травмы, которая определяющей все особенности их патогенеза
, клинического течения и тактики лечения. Объем ХСГ колеблется от 50 мл до 250 мл и чаще составляет 100-150 мл.
Этличительный клинический признак этих гематом в том, что светлый промежуток может длиться неделями, месяцами и даже годами. Клиническая манифестация исключительно полиморфна. Наблюдается как постепенное развитие компрессионного сидрома, так и внезапное резкое ухудшение состояния больного до сопора и комы спонтанно или под влиянием разных дополнительных факторов (легкая повторная травма головы, перегревание на солнце, употребление алкоголя, простудные заболевания и др.).
Клиническая картина при этом может напоминать различные заболевания центральной нервной системы: доброкачественные и злокачественные опухоли мозга, инсульт, нетравматическое субарахноидальное кровоизлияние, церебральный атеросклероз, энцефалит, эпилепсию, и др.
В период развернутой клинической картины хронической субдуральной гематомы часты изменения сознания в виде оглушения или аментивной спутанности с нарушением памяти, ориентировки.
Внутричерепные кровоизлияния у пострадавших с выраженной анемией могут иметь плотность, одинаковую с плотностью мозга. Для сгустков крови характерна более высокая, чем для жидкой крови, плотность. Они четче дифференцируются от окружающих тканей. Внутричерепные гематомы, содержащие свежую несвернувшуюся кровь, на компьютерной томограмме могут иметь одинаковую с мозгом или даже пониженную плотность, на фоне которой при эпидуральной гематоме может выявляться оттеснение твердой мозговой оболочки.
лечение
Всем больным с клиническими признаками сдавления головного мозга, а так же при выявлении этого сдавления на КТ или МРТ у тяжелых больных показана срочная операция - удаление гематомы.
Использованная литература
Актуальные вопросы нейротравматологии. Под ред. А.Н. Коновалова, М., 1988
Григорьев М.Г. и др. Сочетанная черепно-мозговая травма. Горький, 1977